科普友料|只是肚子疼,竟藏着“不定时炸弹”
“肚子疼”几乎每个人都经历过,但有一种腹痛,背后藏着一颗随时可能引爆的“血管炸弹”。近日,中日医院心脏血管外科收治了一位来自河北的农民老徐,他的故事,值得每个人认真读完。
反复腹痛2个月,竟是血管“撕开”了!
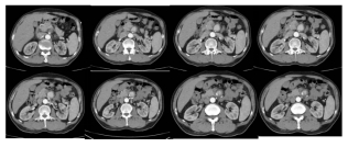
老徐,58岁,常年务农,有慢性胃炎史。两个月前,他突然开始肚子疼,还伴有黑便。“以为是胃病又犯了,忍忍就过去了。”老徐说。就这样疼了十天,忍了十天,居然自己好了。可过了一个多月,腹痛突然卷土重来,比以往任何时候都剧烈!疼得他直不起腰,连背都跟着疼,吃不下饭,睡不着觉。老徐害怕了,辗转多家医院,CT、胃镜、抽血化验都做了,可就是查不出原因。直到他来到中日医院,通过增强CT及血管外科医生的确诊,终于揭开了真相——肠系膜上动脉夹层,一个直径2.8厘米的夹层动脉瘤已经形成!

腹部ct
腹痛不是胃病,是肠道的“求救”!
肠系膜上动脉,是负责给肠道供血的血管主干道。正常肠系膜上动脉的直径只有6~8毫米,老徐的血管“鼓包”了近5倍!这个血管“鼓包”可以说是一枚“不定时炸弹”!“鼓包”一旦破裂,不是肠坏死,就是大出血,死亡率极高!更危险的是,老徐的血管真腔已经被压瘪,血流几乎断供!随着病情进展,会出现肠梗阻,甚至肠坏死、腹膜炎等严重并发症。
微创介入,生死一线!
时间就是生命!心脏血管外科迅速组织专家团队会诊:
——陈洁医生:保守治疗无效,瘤体太大,必须介入!
——叶志东主任:真腔受压、瘤体破裂风险高,手术指征明确!
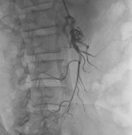
肠系膜上动脉夹层的手术风险高,可能出现术中血管破裂、术后肠道缺血等并发症,在与患者家属充分沟通后,首选腔内介入治疗。经过积极准备,在叶志东主任、樊雪强主任、郑夏医生、贺斌医生的共同努力下,对患者进行了肠系膜上动脉支架联合夹层动脉瘤栓塞治疗。支架释放成功,假腔显影明显减少,肠系膜动脉真腔供血改善,动脉瘤被“封堵”!


术中DSA造影
术后一周,老徐终于笑了!
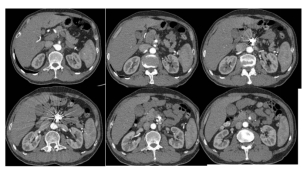
经过手术,老徐转危为安,他的腹痛明显缓解,也开始正常进食。术后一周,他的CT血管造影显示:支架通畅,假腔无显影,无并发症。老徐终于笑着出院了。

术后一周CTA
医生提醒:腹痛,千万别拖!
警惕这些信号:
-突发剧烈腹痛,向背部放射
-与进食、体位无关
-保守治疗效果差
-有高血压、动脉硬化史
建议:
肠系膜上动脉夹层是一类少见疾病,及时发现多数可保守治疗成功,但部分患者会出现肠坏死、血管破裂出血等严重并发症。心血管外科专家团队指出,该疾病缺乏典型症状,诊断困难,但随着增强CT检查的普及,诊断率逐渐提高,约20%的患者会出现保守治疗失败,及时进行腔内微创介入是有效的治疗手段。
写在最后:
老徐是幸运的。
他辗转千里,找到了中日医院;
医护全力以赴,保住了他的生命。
希望有更多的“老徐”不要把夹层当胃病。
作者:郑夏中日友好医院心脏血管外科主治医师
审稿:叶志东中日友好医院心脏血管外科主任主任医师国家科普专家库专家