推荐语
这是一例侵袭性支气管-肺帚霉/小囊菌属(Scopulariopsis/Microascus),患者术前即存在烟曲霉、鸟分枝杆菌感染。自2007年被诊断为“慢性阻塞性肺疾病”(后简称慢阻肺病),经长期规律治疗但活动耐力仍进行性下降,是何原因?后续患者又经历了哪些病情变化?最终查明是何原因导致?对本案,分析病因的思路尤为重要,对临床有所启示意义。
61岁男子反复因慢阻肺病急性加重入院……行双肺移植术,术前痰标本多次培养出烟曲霉菌
卷宗1:男性患者,61岁,反复因慢阻肺病急性加重入院治疗。
讲述者:陈文慧
61岁男性患者于2007年诊断为“慢阻肺病”,长期规律应用噻托溴胺联合沙美特罗氟替卡松吸入治疗,但患者活动耐力仍进行性下降,需长程家庭氧疗及间断应用无创呼吸机。
近3年来,患者反复因急性加重入院,平均每年住院1-2次。2017年9月,患者查肺功能提示:FEV1/FVC 31.9%,FEV1 0.60L(占预计值21%)。既往冠状动脉粥样硬化性心脏病、高脂血症、吸烟史。患者于2018年3月4日行“双肺移植术”。
术前,患者合格痰标本多次培养出烟曲霉,予伏立康唑200mg q12h口服约3月后复查痰真菌培养转阴,于移植术前停用抗真菌治疗;术前痰培养提示鸟分枝杆菌,予乙胺丁醇联合克拉霉素治疗至移植手术后。
术后早期恢复尚且相对顺利,患者于术后第1天(2018-3-5)拔除气管插管,予经鼻高流量吸氧(35L/min,FiO2 0.3)。但患者间断诉呼吸费力、咳痰无力,查体吞咽反射减弱,膈肌超声提示双侧膈肌活动度减弱(右侧膈肌厚约0.24cm,左侧膈肌厚约0.24cm;右侧膈肌活动度1.0cm,左侧膈肌活动度0.9cm)。轻度活动后SpO2(未吸氧)可降至90-91%。
术后予头孢哌酮/舒巴坦、万古霉素经验性抗细菌, 更昔洛韦、联磺甲氧苄啶预防CMV及PCP,卡泊芬净、两性霉素B雾化预防真菌感染。抗排异药物为他克莫司、吗替麦考酚钠、甲泼尼龙,根据FK506浓度、白细胞、淋巴细胞、CD4+T细胞水平调整用量。
术后第46天,患者自主咳痰能力恢复,可慢步行走,SpO2(未吸氧)96-99%,复查肺功能提示:FEV1/FVC 98.63%,FEV1 1.08L(占预计值39.3%)。好转出院。
病情又起变化,新发呼吸道症状,影像学新发渗出,气管镜下假膜形成,考虑烟曲霉感染复发?
讲述者:黄琳娜
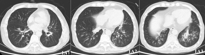
术后第67天(2018-5-10),患者出现夜间呼吸困难,需持续无创呼吸机辅助,伴咳嗽、咳白粘痰,粘稠不易咳出,伴双下肢水肿。血常规:WBC 3.16*109/L, NE 2.15*109/L,LY 0.78*109/L;CD4+ T细胞 244 个/µl;PCT 0.26ng/ml;FK506 10.9ng/ml;BNP 152.67ng/ml。胸部低剂量CT可见双肺下叶新发结节影(图1A1-3)。

图1A1-3. 2018-5-18胸部低剂量CT:双下肺新发结节、斑片影
气管镜提示:双肺各叶段大量黄脓痰,质粘拉丝,右侧为著;右主吻合口处可见大量黄褐色假膜附着,右上及中间段开口处可见大量黄白色假膜覆盖,无法完全吸除;左主吻合口处可见少量黄色附着物(图2A1-2)。综合考虑不除外曲霉菌感染复发可能性。此外,患者白细胞、淋巴细胞计数均下降,FK506浓度偏高,遂停用吗替麦考酚钠,将他克莫司减量并多次留取病原学,等待结果回报。

图2A1-2:可见大量黄色粘稠分泌物及黄白色假膜覆盖,无法完全吸除
多次帚霉菌属培养阳性,面对此种较为罕见的感染,是否需启动抗真菌治疗,如何选择治疗方案,疗程如何?
讲述者:黄琳娜
多次BALF真菌培养及支气管粘膜活检回报帚霉菌属,经形态学及基因测序最终鉴定为M. gracilis(图3)。但患者BALF及血GM均为阴性,血培养阴性。结合患者存在活动后呼吸困难、痰量明显增多、气管镜下气道黏膜假膜形成及大量坏死物,病原学多次提示M. gracilis,根据2011年国际心肺移植协会(ISHLT)共识[1]考虑诊断为“侵袭性支气管-肺帚霉感染(确诊)”。

图3. M. gracilis光镜下形态(3A. 400倍放大,3B. 1000倍放大)
由于此类真菌感染的治疗经验相对缺乏且对现有抗真菌药物高度耐药,我们并未立即开始抗真菌治疗,而是及时进行了药敏实验。结果以MIC值表示:氟康唑为128mg/L,两性霉素B及卡泊芬净均为4mg/L,伏立康唑为2mg/L;泊沙康唑及米卡芬净MIC值较低,分别为1-2mg/L及0.25mg/L。结合药敏结果及相关文献报道[2]。
2018年6月2日起,我们选用特比萘芬250mg qd、米卡芬净150mg qd、泊沙康唑400mg q12h三联抗帚霉菌治疗。BALF病原学提示同时存在阴沟肠杆菌及粘质沙雷菌,加用亚胺培南/西司他丁。患者同时存在真菌及细菌的混合感染,除针对性应用抗感染药物治疗外,间断气管镜下吸痰加强痰液引流,并进行坏死物钳夹。
2018年6月25日,也就是抗真菌治疗的24天后,患者出现呼吸困难、气管镜下表现及CT逐渐好转,复查CD4+T细胞升至401个/μl。
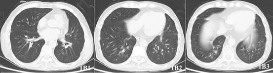
2018年7月20日,抗真菌治疗49天后,停用米卡芬净。2018年8月30日复查CT(图1B1-3)及气管镜(图2B1-2)基本正常。后多次复查BALF病原学无帚霉证据。患者于2018年9月5日停用特比萘芬及伯沙康唑,共计118天。目前患者术后近4年,规律随访中。

图1B1-3. 2018-8-30复查胸部低剂量CT:双下肺结节及斑片影基本吸收。

图2B1-2. 2018-8-30复查气管镜:粘膜轻度充血,少量分泌物,前次黄白色假膜消失。
讨论
侵袭性帚霉/小囊菌属(Scopulariopsis/Microascus)*感染的患者缺乏特异性的临床症状及实验室检查,因此早期诊断困难[3];且此类真菌对两性霉素B、伏立康唑等常见抗真菌药物通常高度耐药[4],因此病死率极高。(*既往帚霉菌属被认为是无性形式,而小囊菌属被认为为有性形式,但目前这一概念已废除,统称为帚霉/小囊菌属)。
近期,我院肺移植中心针对我中心收治的Scopulariopsis/Microascus培养阳性患者并结合文献复习的研究已发表在Mycose.2019; 62 (10): 883-892[5]上。研究表明,其病死率为57.1%,若除外2例定植患者,其病死率可高达80%,因此早期识别此类感染尤为重要。
如何早期识别高危因素?临床症状及实验室检查有无特异性?如何区分感染与定植?如何治疗?
讲述者:陈文慧
如何早期识别高危因素?我们的研究提示Scopulariopsis/Microascus培养阳性距移植的平均时间为106 (19-131)天,推测此种感染并非肺移植早期常见的病原菌,其高峰期在移植后3月左右,与PCP、CMV等机会性致病菌重叠。我们的研究中4例患者(57.1%)在组织培养阳性前曾合并曲霉菌属或其他真菌菌属感染,且均存在较长时间应用唑类抗真菌药物的病史。因此,我们推测既往真菌感染/定植及全身广谱抗真菌药物的应用可能为Scopulariopsis/Microascus的高危因素。此外,我们的7例患者中,3例(42.9%)Scopulariopsis/Microascus阳性前存在下呼吸道CMV感染;有研究报道,CMV感染后患者的免疫功能,尤其是细胞免疫功能受损,增加其他感染,包括真菌感染风险[3, 6]。
临床症状及实验室检查有无特异性?我们的研究表明,新发的呼吸困难及发热在此类患者中发生率较高,但上述症状并无特异性。前期在流感合并曲霉感染的研究中[7]我们发现,白细胞大于10*10^9/L,而不伴PCT增高对流感合并曲霉菌感染有提示意义。但肺移植患者应用大量免疫抑制剂及激素可能掩盖炎症反应,我们的患者中,仅1例出现白细胞增高,因此以白细胞等其他炎性指标(包括ESR、CRP、PCT)在此类患者中意义不大。组织病理学为确诊侵袭性真菌感染的金标准,但Scopulariopsis/Microascus的菌丝在光镜下易与其他菌属,如曲霉菌属、镰刀菌属、丝胞菌属相混淆[8]。我们研究中的7例患者,2例患者由于组织形态学诊断错误,早期将帚霉当成曲霉治疗,导致治疗的延误及患者的死亡。此外,我们发现所有Scopulariopsis/Microascus分离阳性患者的血清及BALF GM实验均为阴性。临床中,若患者症状、影像学及气管镜下表现提示真菌感染,而血清及BALF GM时应考虑到其他非曲霉菌属感染可能性,从而尽早进行微生物鉴定及药敏实验可能有助于早期诊断及诊疗。
如何区分感染与定植?Scopulariopsis/Microascus广泛存在于自然界,其特点为致病力较弱,结构性肺病患者可能存在气道定植。因此当下呼吸道标本等非无菌部位标本培养阳性时,必须结合临床症状、白细胞、淋巴细胞计数等机体免疫状态指标、影像学、气管镜等指标综合分析,区分定植及感染。一旦确诊为侵袭性感染,需尽早完善药敏实验,根据药敏结果联合用药。
如何治疗?Scopulariopsis/Microascus对多种抗真菌药物的天然耐药问题导致其治疗的困难。一项针对目前抗真菌药物药敏结果的研究提示[9],其对唑类中的伊曲康唑、伏立康唑及酮康唑,广谱抗真菌药中的两性霉素B均高度耐药。另有研究探索了米卡芬净、泊沙康唑及特比萘芬三药联合抗真菌治疗的有效性[10]。我们的病例中,米卡芬净及泊沙康唑均具有较低的MIC可试用于Scopulariopsis/Microascus的治疗中。我们的经验是,一旦考虑侵袭性感染,需尽早完善药敏,根据药敏结果选择用药,且多需联合用药。米卡芬净、泊沙康唑、特比萘芬三药联合治疗可能为此类感染的一种选择。
除药物治疗外,加强痰液引流、增强患者气道局部及全身免疫状态在侵袭性Scopulariopsis/Microascus感染中也起着至关重要的作用。气管镜吸痰、镜下坏死物清除、免疫抑制剂及激素的减量、血糖的控制、FK506血药浓度的调整、抗真菌药物血药浓度及CD4+ T细胞的动态监测均有助于调整用药方案及决定治疗疗程。
本期点评
1. 肺移植术后出现少见、甚至罕见病原菌感染的几率显著增高,需提高诊断意识,识别其危险因素、临床特点。
2. 肺移植术后检测到Scopulariopsis/Microascus,需区分感染与定植,结合临床症状、免疫功能状态、影像学、气管镜下表现等指标综合判断。
3. 肺移植术后的侵袭性感染,除合理的抗感染策略,需重视气道廓清、免疫抑制方案调整、血糖控制等综合支持治疗。
专家介绍

陈文慧
教授/医师,主任医师,硕士生导师,中日医院呼吸与危重症医学科副主任兼肺移植科副主任。2016年在美国杜克大学习肺移植。国家卫健委肺移植专业质控中心副主任、中国康复医学会呼吸康复专业委员会副主任委员、中华医学会呼吸危重症学组委员、THORAX中文版副主编。

黄琳娜
中日友好医院呼吸与危重症医学科,主治医师,医疗组长;中国医学会呼吸病学分会(CTS)认证的PCCM专科医师;中国医师协会呼吸医师分会危重症学组青年委员;以第一作者及通讯作者发表SCI论文10篇,中文核心期刊论文多篇;作为子课题负责人参与中国医学科学院项目1项,作为项目骨干参与多项国家级及省部级课题;作为中日友好医院呼吸危重症救治与创新团队主要成员,获得全国创新争先奖牌。
* 文章仅供医疗卫生相关从业者阅读参考
* 文章来源:转载自“呼吸界”微信公众号
国家呼吸医学中心 © 版权所有 京ICP备18042996号
京卫网审字﹝2008﹞第25号 京公网安备110402450042号2020